业务咨询
中国:
Email: marketing@medicilon.com.cn
业务咨询专线:400-780-8018
(仅限服务咨询,其他事宜请拨打川沙总部电话)
川沙总部电话: +86 (21) 5859-1500
海外:
+1(781)535-1428(U.S.)
0044 7790 816 954 (Europe)
Email:marketing@medicilon.com



文档下载
HJC黄金城平台临床病理实验室
临床病理实验室的检测服务

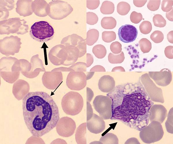
血液学分析
血细胞分析是血液学检验的一个重要检测项目,为提高检测效率,实验室使用血液分析仪流水线来进行检测。所使用的SYSMEX XN-2000v全自动血液分析仪采用流式细胞结合激光技术、电阻抗法分析方法,检测结果准确可靠。

凝血分析
凝血功能是血液由液体状态转变为凝胶状态的过程,此过程是由一系列凝血因子参加的、复杂的酶促反应和分子聚合过程。全自动凝血分析仪主要用于测量实验动物血浆止血与血栓分子标志物的检测,这些指标与实验动物各种疾患有着密切联系,如动脉粥样硬化,心脑血管疾病、糖尿病、动静脉血栓形成等。
临床病理实验室所使用的SYSMEX CS-5100全自动凝血分析仪,是目前市面上较为出色的高速分析系统,更是可靠溯源的完整配套检测系统。

尿液分析
尿液常规分析是三大常规检验中的一项,作为排泄物检查,尿液分析结果可反映机体的代谢状况,是很多疾病诊断的重要指标,也是肾脏或尿路疾病的征兆。不少肾脏病变早期就可以出现蛋白尿或者尿沉渣中出现有形成分。
免疫分析
免疫分析是利用抗原与抗体在体外特异性结合,再利用流式细胞仪来检测、分析所需物质的方法。运用流式细胞术进行淋巴细胞亚群分析是药物安全性评价研究重要的检测项目。临床病理实验室流式细胞仪主要用于检测动物血细胞的淋巴细胞表型分析。通过分析各个免疫细胞群的数量和功能,反映出机体免疫系统的变化。


BD FACSLyric 流式细胞仪配置3激光12色,可以带来更高效检测速率和更灵活的配色方案,更具效率与智能化性的自动进样系统,可选择试管架或96孔板进行连续进样和数据采集,可达到35000events/sec更精准的光路自我调节,FACSLyric具有60天一次的荧光补偿值的更新功能。更先进的操作界面,可实时监测每一个样本的检测状态和检测指标。

生化分析
临床生化指标主要用来检测碳水化合物、脂类、蛋白质、尿液、肝胆、心血管、肌肉、胃肠道系统的代谢。这些检测指标在药物临床前研究中反映了对动物机体总的代谢、营养和健康状态的影响。
全自动生化分析仪采用?榛⑿泄ぷ,可快速完成检测并报告数据;有更稳定的Na, K, CI电极系统,独立电极,使样本检测更加精准;仪器内置恒温液循环的干式孵育系统使温控更准确、稳定,保证检测数据的精确性。4000光度法测试/小时,900电解质测试/小时(离子选择电极法),可同时进行 120个分析项目。增加独立重测轨道,双进样系统全面满足需要,更方便,更灵活,更安全。




相关实验室













相关文章